top of page
OmniTom®
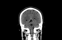
Revolutionary mobile 16-slice CT scanner delivers the highest quality non-contrast, CT angiography, and CT perfusion scans at the patients' bedside.


CT Angiography and CT Perfusion
Perform CT angiography and CT perfusion at the bedside.Automatic bolus tracking and contrast injector triggering maximize workflow efficiency.

Advanced reconstruction
Fully featured advanced reconstruction for 3D and multiplanar reconstruction, mean slab, maximum/minimum intensity projection, and oblique datasets. Artifact corrections can be added to the primaryreconstruction, including noise reduction, IDR, DDR, and windmill artifact reduction. Automatic performance of post reconstructions with the ability to perform metal artifact reduction.

Smart sensing collision avoidance
The S-Alert smart sensor system warns the user visually and audibly of upcoming obstacles, allowing the user to avoid incident. Visual cues alert the user and surrounding staff of when a scan is starting and when X-rays are being produced.
Radiation safety for staffs
According to the ALARA standard 500mRem/year per operator, and using a typical brain scan protocol at a distance of 2 meters (6 feet) from the OmniTom®'s isocenter, your operator can perform over 26 scans per day, for 250 days per year without any additional lead protection. The OmniTom® covers are internally coated with 0.5mm laminated lead providing maximum scatter reduction. In addition, three externally mounted 0.5mm Starlite® curtains (two front, one back) provide added shielding to the gantry. d surrounding staff of when a scan is starting and when X-rays are being produced.

bottom of page
